科室简介:
我院自1997年始开展介入诊疗相关工作,2004年购置介入专用DSA机,随后成立专业介入诊疗中心,配置专业人员,2008年组建介入诊疗专业团队,开设介入病房,2013年成立独立的介入科,归属临床科室,同年获得江苏省医学会介入医学分会“开展周围血管介入和综合介入资质”认证,2018年设立介入科门诊。目前,科室设置专职病床10张,专职介入医师5人,其中介入治疗专业副主任医师3人,主治医师2人,硕士学位2人,综合实力和业务水平在省内中医院系统内位居前列。
科室熟练开展各种血管性疾病、肿瘤及综合介入手术,部分开展脑血管疾病的诊治。科室以发展专病为主体,结合中医药及中医诊疗技术的应用,逐渐发展并建立了徐州市中医院介入诊疗的特色项目,其中:输卵管梗阻性不孕、子宫腺肌症、异位妊娠、下肢深静脉血栓形成、下肢动脉闭塞症、股骨头坏死、脾功能亢进等的介入治疗已居我市领先地位;碘化油+无水酒精超选择栓塞原发性肝癌,碘化油+化疗药物栓塞治疗肺癌等取得了满意的疗效。
专病及特色病种简介:
1、输卵管梗阻性不孕
近年来,输卵管梗阻(阻塞)所致的女性不孕发生率不断升高,通过“子宫输卵管中造影”可以明确诊断,并能清晰显示输卵管阻塞的部位、形态等相关情况。介入输卵管再通是治疗输卵管梗阻的主要方法,国内报道主要是使用导管、导丝疏通阻塞的输卵管,其成功率达90%以上,受孕率约30%~50%。我科创新性提出以液体加压的方法疏通输卵管,术后配合中药保留灌肠、宫旁侧注、红外线理疗等中医药治疗技术,再通成功率达95%以上,术后受孕率达70%以上,目前已成功治疗3000例患者。由于其技术革新,获徐州市医学新技术引进二等奖(介入诊疗无一等奖),在本地区获得患者及同道们的好评。
病例介绍:
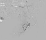
李××,女,28岁,继发性不孕,子宫输卵管造影(图1)示双侧输卵管梗阻,予介入疏通治疗(图2a~b),术后6月顺利怀孕。
图1 图2a 图2b
2、股骨头坏死
股骨头坏死是因为其供血障碍所引起。通过介入穿刺技术,以细小导管进入股骨头供血动脉血管,以改善微循环药物通过压力改变注入其中,原缺血的股骨头供血得到明显改善;术后再以扩血管、活血化瘀等药物静脉应用,辅以中药外敷并红外线理疗,进一步促进股骨头血液循环的好转,疼痛等临床症状得以明显好转,有效率达90%以上。介入治疗股骨头坏死是以改善股骨头血供为主要目的,起到延缓骨质坏死的进展,适用于一、二、三期患者;而对于二期囊变并有硬化圈的患者尚需要骨科髓芯减压手术,四期患者需要人工股骨头置换手术。
病例介绍:
朱××,男,45岁,双侧股骨头坏死,左侧髋关节疼痛明显,不能独立行走,需使用止痛药物(图1,MR)。介入治疗术中造影(图2a)示:股骨头供血动脉分支稀疏,远端痉挛、股骨头骨质内无明显分支动脉血管;治疗后(图2b)造影见股骨头供血动脉分支血管明显增多,远端可见达股骨头骨质内,原髋关节疼痛消失,自行行走出院。
何××,男,6岁,儿童股骨头坏死,左侧股骨头骨骺坏死、骨质碎裂(图3),经治疗后骨骺骨质恢复(图4)。
图1 图2a 图2b

图3 图4
3、下肢深静脉血栓形成(DVT)
流动在静脉血管内的血液在各种因素作用下变成了固体就是静脉血栓形成了。血栓形成后阻塞了静脉血液的回流,远端肢体出现肿胀、疼痛;而血栓一旦脱落,随静脉回流进入肺内,形成肺动脉栓塞,引起憋喘,呼吸困难,严重者可以危及生命,发生“猝死”。顺行性下肢深静脉造影是诊断DVT的“金标准”,我院以其作为DVT诊断的主要方法,避免了多数医院以彩超检查为诊断标准对髂静脉段观察不清的不足。DVT的治疗方法主要是“置管溶栓术”,即取合适的部位穿刺静脉血管,于血栓内置入溶栓导管,经导管以溶栓药物直接作用于血栓内,促进血栓溶解。目前,对于发生于髂、股静脉内的血栓,均可以有效治疗,而对于发生于全下肢静脉的血栓,尤其是膝关节上下部位的血栓难以置入导管并有效溶栓治疗。我科自2014年起,创新性开展经患侧股静脉下行穿刺置管的方法,可以将导管顺利置入上述部位,解决了国内全下肢型DVT置管溶栓困难这一难题。一般的,一月内的DVT基本可以完全溶解,1~3月的DVT大部分可以溶解,超过半年的血栓难以溶解,随之出现慢性血栓综合征,部分病人约5年后可以出现小腿的静脉溃疡,即“老烂腿”。
病例介绍:
刘××,男,57岁,下肢静脉造影显示混合型DVT,血栓充盈整个左下肢深静脉(图1a~c)。经左股静脉置管后溶栓治疗,10日后血栓完全溶解,再次造影显示左下肢深静脉血流通畅(图2a~c)。
图1a 图1b 图1c
图2a 图2b 图2c
4、下肢动脉闭塞症
各种原因致动脉血管阻塞,包括下肢动脉硬化闭塞症、糖尿病足、下肢动脉栓塞等。动脉阻塞后远侧肢体缺血,出现疼痛、肤温减低、肤色苍白、无脉等症状,严重者趾端坏死,甚至需要截肢。动脉闭塞的治疗主要是施行介入手术,于阻塞的动脉血管内以导管、导丝开通阻塞段,然后行溶栓、球囊扩张、支架成型等治疗。对于膝关节以上的动脉血管闭塞,介入再通成功率达90%以上,而对于膝下动脉血管成功率仅为60%~70%。动脉闭塞好发于老年人,多合并冠心病、高血压、脑梗塞、糖尿病等慢性病变,手术风险相对较高,我科自2013年始,对高龄、多合并症的下肢动脉闭塞患者,采取先行静脉药物治疗观察疗效,疗效不满意者再行介入手术的整体治疗方案。药物治疗以疼痛消失、行走距离明显改善为目标,现有病例统计,总有效率达90%以上,使多数高危患者避免了手术的风险;对于药物治疗不满意的患者再行考虑是否行介入手术治疗,而介入手术治疗中尽可能避免支架置入治疗,规避支架后再闭塞、断裂等风险。
病例介绍:
窦××,男,79岁,“右足部疼痛伴局部破溃半年”入院,间歇性跛行200米,右踝关节局部1.5×1.5cm2溃疡,第5趾底1.0×1.0 cm2溃疡,表面渗出物。糖尿病病史23年,高血压病史23年,脑梗塞病史7年。下肢动脉CTA示双下肢动脉广泛斑块形成,多发狭窄,双侧膝下动脉间断显示,大部闭塞。经药物治疗10天,疼痛消失,可自行持续行走1000米以上双下肢无不适,原足趾部溃疡愈合,踝关节部溃疡结痂。
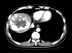
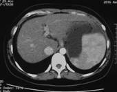
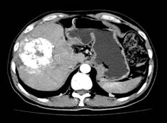
5、原发性肝癌
介入化疗栓塞术(TACE)是原发性肝癌的主要治疗方法,80%以上的患者首选介入治疗。我科在原发性肝癌的诊疗中更注重“精准”的要求:在诊断上,独立阅读影像资料,严格按国家原发性肝癌的诊疗标准执行,对不典型病例施行穿刺活检或动脉造影以明确诊断,目前,已为近20例拟诊为“原发性肝癌”的患者否定了诊断。在治疗上,术中以细导管超选择到肿瘤供血分支动脉后再行栓塞术,瘤体栓塞更彻底,周围正常肝组织损伤少,患者术后副反应轻微,3~5天即可消失;栓塞肿瘤使用液体栓塞剂,可以到达瘤体“深部”,在对肿瘤杀灭作用更强的同时,瘤体侧支血管形成的可能降低,栓塞后肿瘤稳定时间更长;在液体栓塞剂中加入无水酒精,加强对瘤体内血管网的破坏,进一步提高对肿瘤的杀灭作用。近年来,在医院“中医肿瘤多学科联合诊疗”机制下,对经介入栓塞后瘤体稳定的肝癌患者实施瘤体切除术,辅以中医药的应用,在治疗肿瘤的同时提高患者综合体质,明显提升肿瘤患者的生活质量。
病例介绍:
张××,男,56岁,外院CT增强示肝右叶“巨块型肝癌”,首次介入治疗后复查CT(2012年4月25日)所见瘤体大部栓塞,周围组织损伤小(图1a~b)。3年9个月后复查(2016年1月21日)见原瘤体明显缩小,上方肝实质复发病灶(图2a~b)。
图1a 图1b
图2a 图2b
6、子宫腺肌症及子宫肌瘤
子宫内膜组织异位于子宫肌壁间,其随月经周期增长及脱落却难以排出,子宫被动增大,即子宫腺肌症,其主要的症状为“痛经”及月经量增多。介入治疗是于大腿根部的股动脉穿刺,引入直径约1mm的细导管,进入子宫动脉,以栓塞剂堵塞子宫动脉分支,阻断“异位病灶”的供血,终止其增长;而正常子宫通过侧支供血可以维持其功能(规律性月经及受孕)。目前已成功治疗300余例患者,总有效率90%左右。本治疗方法对于合并有盆腔内其它脏器如卵巢、网膜、直肠、膀胱等异位病灶的患者效果不理想,但即使疗效“失败”,不会加重患者病情,不影响患者施行其它治疗方法;而治疗有效者不仅避免了开腹手术的创伤,术后恢复快,还可以保留子宫的功能。子宫肌瘤介入治疗同子宫腺肌症。
病例介绍:
郭××,女,41岁,“经行腹痛2年余”入院,彩超检查示:宫体明显增大,前后壁增厚,肌层回声不均,右侧壁见6.4×6.0cm不均质回声,诊断子宫腺肌症。予介入手术双侧子宫动脉栓塞术,术后痛经消失,月经恢复正常。
7、异位妊娠
异位妊娠即宫外孕,由于孕囊生长至一定大小后会破裂,引起“大出血”,严重者可以危及患者生命,因此需要及时“清理”孕囊。介入治疗是通过穿刺技术,于股动脉内引入导管至子宫动脉(孕囊供血动脉),以“杀胚药物”甲氨蝶呤稀释后局部缓慢灌注,再以短效栓塞剂堵塞子宫动脉。孕囊因杀胚药物及供血被阻断而液化坏死,然后吸收,局部功能得以保留;即使孕囊破裂因其供血动脉被阻断而不会出现大出血;堵塞子宫动脉的栓塞剂3周左右逐渐吸收,子宫动脉血供可以恢复。本方法适宜输卵管近、中段及宫颈部异位妊娠,输卵管远段异位妊娠因合并卵巢动脉供血而效果不理想,甚至无效,不可避免的需要再次妇科手术,但“大出血”的风险显著降低。
病例介绍:
高×,女,34岁,因“停经48天伴腰部酸痛10天”入院,彩超检查示:右附件区20×17mm混合包块,其内见卵黄囊及胚芽,隐见原始心管搏动;HCG 28982.5mIU/ml,诊断为“输卵管妊娠”,行介入手术治疗,子宫动脉造影(图1a)见右侧子宫旁孕囊(图1b),以MTX杀胚药物灌注后栓塞(图1c),术后HCG持续下降,1月后复发正常,彩超复查孕囊完全吸收。
图1a 图1b 图1c
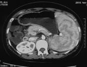
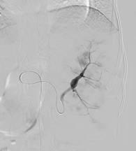
8、脾功能亢进
各种原因所致的肝硬化出现门静脉高压,随病情进展,后者致脾脏增大,功能“亢进”,大量血细胞被其“杀灭”,引起白细胞、血小板甚至红细胞下降,即出现“脾亢”。脾亢的传统治疗方法是外科开腹后行脾脏切除术,虽然彻底的治疗了脾亢,但也去除了脾脏“处理衰老血细胞的本职工作”并降低了免疫功能。介入治疗是通过股动脉穿刺技术,引入导管至脾动脉,以栓塞剂堵塞部分脾动脉,达到缓解脾亢的目的。我科通过技术改进,采用术前CT确认脾脏亢进的主要部位,以微导管超选择进入其中后予以选择性栓塞,并于脾脏不同部位的分支血管采用不同程度的分级栓塞方法,有效的栓塞了脾实质内主要的亢进区,保留脾脏的免疫功能区,在解决了脾功能亢进的同时充分保留了其免疫功能,术后反应轻微,取得了满意的治疗效果。
病例介绍:
赵×,女,31岁,病毒性肝炎肝硬化伴脾亢。术前CT增强(图1a~图1c)见脾脏显著增大,外周血常规示:白细胞1.24×109/L;血小板40×109/L;红细胞2.15×1012/L。行“超选择分级栓塞脾动脉”介入手术治疗(图2a~图2b),术后3月复查外周血常规示:白细胞3.65×109/L;血小板130×109/L;红细胞2.59×1012/L。
图1a 图1b 图1c
图2a 图2b
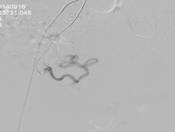
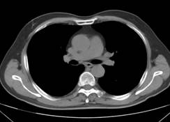
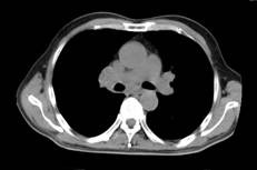
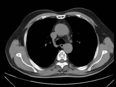
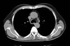
9、支气管肺癌
术前确诊后,以病理组织及血液行“基因检测”,确定不同病人的敏感化疗药物,通过介入穿刺技术,选择肺部癌组织的供血动脉(支气管动脉),以上述“敏感化疗药物”稀释后缓慢灌注,再以栓塞剂混合化疗药物栓塞。一般的,经过2~3次治疗,瘤体缩小明显,控制满意,副反应轻微(无明显脱发及白细胞下降),疗效明显。
病例介绍:
杨××,男,63岁,CT示右肺门占位(图1a~b)经穿刺活检证实右肺门部腺癌、纵膈淋巴结转移,基因检测提示“吉西他滨、5-Fu、铂类”化疗药物敏感;经三次介入治疗后CT(2012年12月19日)复查,瘤体明显缩小,纵膈肿大淋巴结消失(图2a~b);后无特殊治疗,4年后复查(2017年1月8日),病情稳定,瘤体不明显(图3a~b)。
图1a 图1b
图2a 图2b
图3a 图3b
10、宫颈癌
通过介入穿刺技术,引入导管至双侧髂内动脉,通过造影查找瘤体供血动脉(主要为子宫动脉),超选择进入其中,以化疗药物稀释后灌注,再以短效栓塞剂混合化疗药物栓塞。术后2~3周行妇科子宫切除术。现有病例显示,经介入治疗后宫颈瘤体明显缩小,周围淋巴结转移发生率低,逆转了肿瘤的分期;行妇科子宫切除术时出血量减少。经介入与手术联合,宫颈癌的疗效及预后明显提高。
病例介绍:
时××,女,39岁,因“阴道不规则出血1月”入院,妇查示:宫颈占位,约5×5cm大小,病理检查示:宫颈部鳞癌。予介入手术,双侧子宫动脉化疗药物灌注,并以明胶海绵颗粒栓塞。3周后行子宫切除术,术后病理:宫颈部瘤体1×1cm大小,淋巴结无转移。
专家介绍:

尹文州 科主任,副主任医师,副教授
全国首批介入治疗专业副主任医师;徐州市介入医学专业委员会副主任委员;江苏省医学会介入医学分会非血管介入学组委员;江苏省生物医学工程学会介入技术专业委员会委员。江苏省首批获得“周围血管介入和综合介入”资质认证。广泛开展各种肿瘤的介入治疗,主持开展的输卵管梗阻性不孕及子宫腺肌症为代表的妇产科介入在本地区处于领先水平;在我市首创经患侧股静脉下行穿刺置管溶栓治疗混合型下肢深静脉血栓形成,成功解决了全下肢深静脉血栓形成后置管溶栓问题;下肢动脉闭塞症的综合介入治疗、股骨头坏死的介入治疗均取得满意疗效。获徐州市医学新技术引进二等奖1项,在国家级专业核心期刊发表论文多篇。电话:15952260826;专家门诊时间:每周一、周五上午;个人网站:http://yinwenzhou.haodf.com。

卜庆云 副主任医师 副教授
徐州市医学会介入医学专业委员会委员。2002年毕业于徐州医学院医学影像系,曾于首都医科大学附属朝阳医院介入科进修学习。擅长原发性肝癌、支气管肺癌、宫颈癌等各类肿瘤、输卵管梗阻性不孕症、子宫肌瘤、子宫腺肌症、异位妊娠、下肢动脉闭塞性疾病、糖尿病足、下肢深静脉血栓形成、股骨头坏死、下肢动脉外伤断裂吻合术后血管再通等相关介入治疗。有四篇论文在国家级统计源及省级期刊上发表。
电话:15952260812;专家门诊时间:每周三上午;个人网站:http://buqingyun1977.haodf.com。

刘东方 医学硕士 副主任医师 副教授
徐州市医学会介入医学专业委员会委员。 1997年毕业于徐州医学院医学影像系,2007年毕业于徐州医学院肿瘤专业,获医学硕士学位。2008-2009年于首都医科大学附属朝阳医院介入科进修学习。擅长原发性肝癌、支气管肺癌等各类肿瘤及子宫肌瘤、子宫腺肌症、梗阻性黄疸、下肢深静脉血栓形成、股骨头坏死等疾病的介入治疗。有三篇论文在国家级统计源及省级期刊上发表。电话:15896426766;专家门诊时间:每周三上午。
介入科咨询电话:0516-68692142,67663520(病房)。