当前位置: 首页>【前沿技术】徐州市中医院心血管内科成功完成首例经皮主动脉瓣置换术
徐州市中医院心血管内科成功完成
首例经皮主动脉瓣置换术

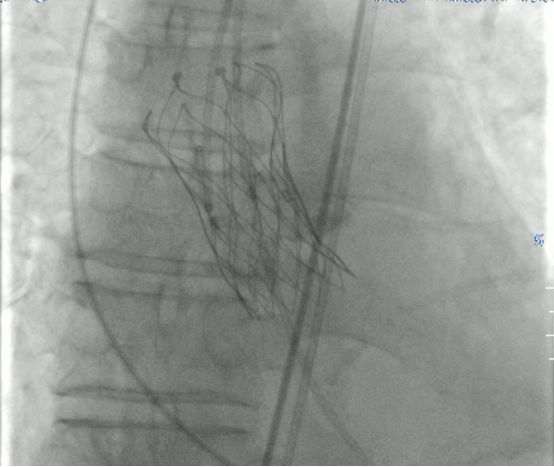
2022年8月15日,在院领导的大力支持下,徐州市中医院心血管内科团队联合麻醉科、超声科等多学科,成功开展首例经导管主动脉瓣置换术(TAVR),患者经康复治疗于8月26日顺利出院,目前健康状况良好。这也是我省中医系统TAVR的第一例手术,为淮海经济区广大主动脉瓣病变患者带来新的福音。

患者王某,78岁,近2年来胸闷、气喘、头晕、乏力症状逐渐加重,导致日常生活无法自理,此次因“晕厥”急诊入院,心脏彩超提示重度主动脉瓣狭窄合并中度主动脉瓣反流,患者重度混合型通气功能障碍MVV22.5%开胸手术难以耐受。以科主任梁田为首的心内科团队就该患者的病情反复讨论,认为需尽早进行主动脉瓣置换手术,否则随时可能猝死。心内科团队组织院相关学科多次会诊,决定尽快行TAVR术。
经过充分术前评估,梁田主任、王忠良主任、梅发光主任、张庆主任、卢磊主任等结合自身实际情况制定了详细操作流程并进行了反复模拟演练,对手术中可能出现的各种意外事件也制定了周密的预案。
按照术前详细制定的手术方案,麻醉科、超声科、影像科“瓣膜团队”全力协作,8月15日手术如期进行,经股动脉顺利完成主动脉瓣置换手术,患者胸闷憋喘等情况明显改善,至此首例TAVR圆满成功。

随着我国社会老龄化加快,患有严重退行性主动脉瓣狭窄的高龄人群扩大,主动脉瓣狭窄已成为影响人类寿命和社会健康的重要疾病。据统计,该疾病发病率在75岁以上人群中达2.5%,在85岁以上人群中可达8%,是仅次于高血压和冠心病的第三常见的心血管疾病。一旦患者出现症状,若不及时进行治疗,平均生存期仅为2至3年,可见该疾病已成为严重威胁老年人生命的老年病。
什么是TAVR?经导管主动脉瓣置换术(TAVR)是通过股动脉送入介入导管,将人工心脏瓣膜输送至主动脉瓣区打开,从而完成人工瓣膜置入,恢复瓣膜功能。该技术具有创伤小、恢复快、安全性高,并发症少的优点,对于心功能衰竭的重度主动脉瓣狭窄患者,药物治疗效果差、外科开胸手术难以耐受,TAVR已成这类患者的“救命神招”!